
医院动态
详细内容
News近日,我院甲乳外科二病区医疗团队成功为一名患者开展了乳腺钼靶精准定位肿块切除术。
54岁的赵女士因乳腺疼痛不适,曾多次进行乳腺彩超检查,但未发现明显肿块,近日因胃部不适于来我院就诊,住院后进行胸部CT检查发现左乳占位,乳腺钼靶检查显示左乳外上象限肿块,外缘模糊且有分叶,BI-RADS分类4A。查体双乳未触及明显肿块,彩超也无法准确定位。结合患者病史、体检及相关辅助检查,与患者及家属充分沟通后,我院甲乳外科二病区医疗团队决定对其行钼靶定位引导下乳房肿块切除术。
▲术前钼靶
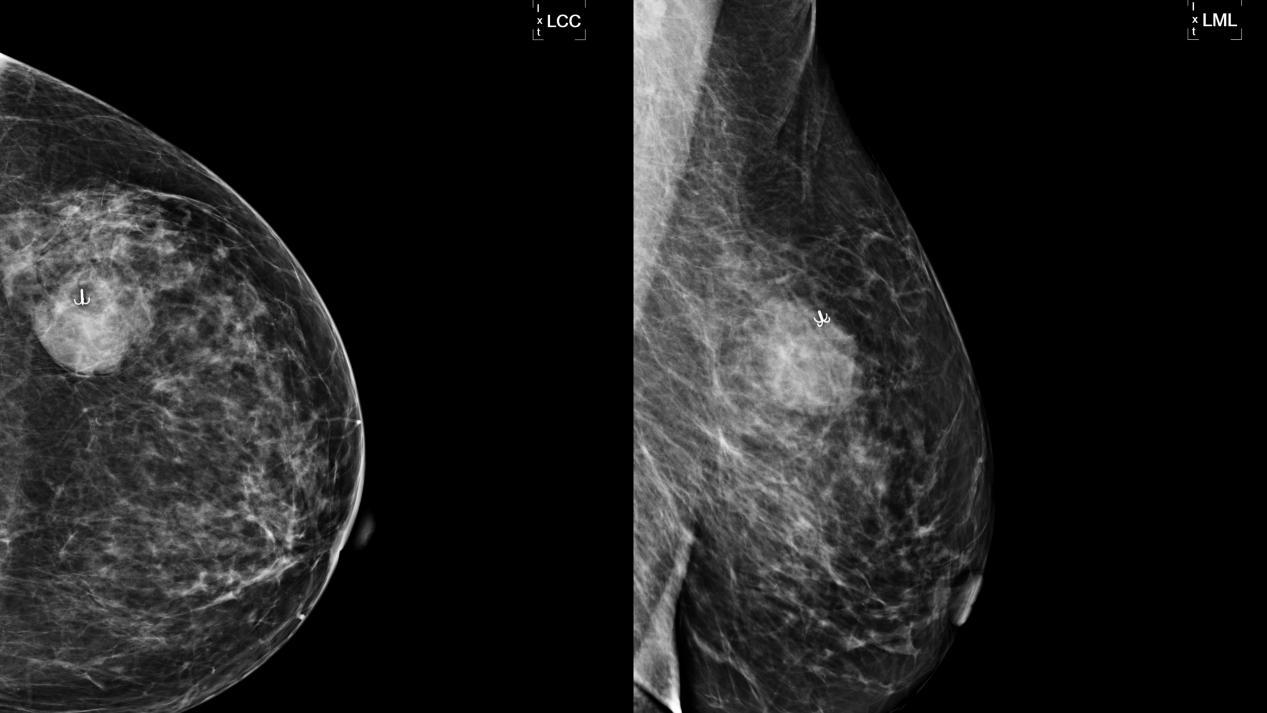
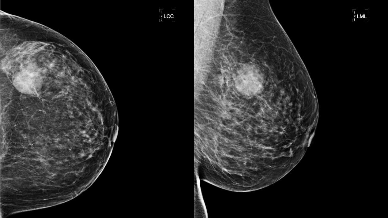
术前,我院甲乳外科二病区林明副主任医师和北区放射科刘璇婷主治医师共同查阅了赵女士的钼靶影像资料,术中,根据钼靶定位结果,完整切除了肿块,手术获得成功,目前患者已经康复出院。此例钼靶引导下定位技术属皖东地区首例,填补了皖东地区该项技术空白。


▲定位针定位乳房肿块
供稿:王睿琳
![]() |
![]() |
![]() |
|
| 支付宝生活号 | 微信服务号 | 微信订阅号 | 在线留言 |